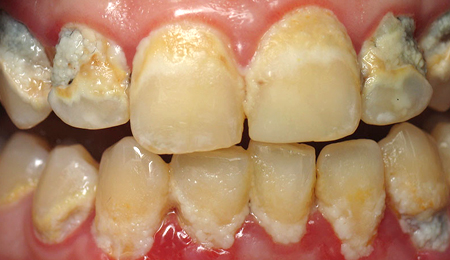
DENTAL CARIES:
Tooth decay is the single most common infectious disease of childhood. When left untreated, childhood tooth decay can have devastating consequences that extend beyond the dental chair. In babies, tooth decay can be severe, resulting in a condition known as Early Childhood Caries. Tooth decay may interfere with eating, sleeping, speaking, learning, playing and school performance. Frequent consumption of liquids containing fermentable carbohydrates (juice, milk, formula, soda) can increase the risk of dental caries, due to the sugars sitting on the teeth and reacting to the natural, cariogenic bacteria on the teeth. Such bacteria can be passed onto adult teeth causing further cavities A cavity is permanent damage that a dentist has to repair with a filling. If left untreated the cavities may progress further leading to pulpal disease causing pain and swelling. Regular visits to a Pediatric dentist are important to building longterm healthy oral habits.
GUM DISEASE
Periodontal (gum) disease is an infection of the tissues that hold your teeth in place. It's typically caused by poor brushing and flossing habits that allow plaque—a sticky film of bacteria—to build up on the teeth and harden. In advanced stages, it can lead to sore, bleeding gums; painful chewing problems; and even tooth loss.

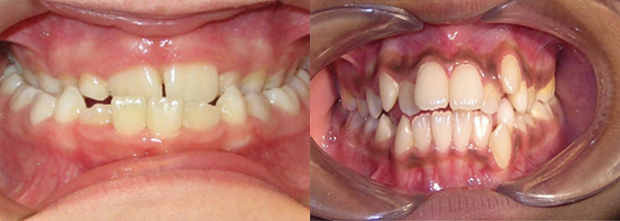
MALOCCLUSION:
Malocclusion refers to any degree of irregular contact of the teeth of your child's upper jaw with the teeth of the lower jaw. These irregularities should be identified and corrected as early as possible.
HABITS
Thumb and finger sucking is a natural normal behaviour for infants and children upto the age of 2. If the children do not stop on their own the habit should be discouraged after age 4.
Prolonged sucking of thumbs, fingers or pacifiers during and after the eruption of permanent teeth can hinder proper growth and development of teeth and gums and can also affect the shape of the child’s mouth leading to crowded or crooked teeth and bite problems. Dentists can help intervene these habits.
TRAUMA:
Injuries to the head, face, and mouth are common in young children. Most oral injuries happen when young children are learning to walk. Sports injuries are common among 9-11yr old. The top front teeth are injured most often. In case of trauma consult your pediatric dentist immediately. Mouth guards, helmets and facemasks are recommended to prevent injuries during sports.

